
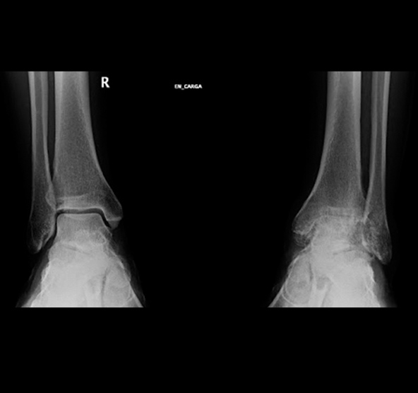
ARTROSIS DE TOBILLO
La artrosis de tobillo es el desgaste progresivo de las superficies articulares que conforman el tobillo, la cara articular de la tibia, la del astrágalo y la del peroné.
La artrosis de tobillo no es tan habitual como la de cadera o la de rodilla, pero hace que la persona que la padece vea como su vida y capacidad de movimiento queden muy limitadas.
El tobillo actúa como un gran amortiguador de la extremidad inferior y reparte las fuerzas en cada pierna, la mitad hacia delante y la mitad hacia atrás. Esa función la ejecuta a través de un hueso que hay detrás del tobillo, el astrágalo, que es precisamente el que se va desgastando con el paso del tiempo.

